Willkommen
Startseite
Über uns
Unsere Arbeit
Fotos der Praxis
Kontakt und Impressum
Wie Sie uns finden

Bleaching und Verneers - Lust auf schöne Zähne

Bleaching: Strahlend weiße Zähne gelten als Ausdruck von Gesundheit und Vitalität. Doch nicht jeder wurde von der Natur mit diesen Gaben ausgestattet. Neue Verfahren der modernen Zahnheilkunde können jedoch den Wunsch nach ästhetischen Verbesserungen der Zähne erfüllen, ohne sie zu schädigen.

Bei Verfärbungen stehen je nach Ursache unterschiedliche Methoden zur Verfügung, um die Zähne aufzuhellen. Das Bleichen lebender Zähne geschieht mit einem Gel, das mittels einer speziell angefertigten Kunststoffschiene auf die Zähne gebracht wird. Die Dauer und Häufigkeit der Behandlung richtet sich nach dem Ausmaß der Verfärbung und dem gewünschten Grad der Aufhellung.

Für die Aufhellung wurzelbehandelter Zähne wird das Bleichmittel von der Rückseite in den Zahn eingebracht. Dort verbleibt es für mehrere Tage. Es wird mehrfach erneuert, bis der gewünschte Grad der Aufhellung erreicht ist. Anschließend wird der Zahn durch eine Füllung wieder dicht verschlossen. Die Gefahr örtlicher Nebenwirkungen ist bei richtiger und sorgfältiger Anwendung gering. Gelegentlich kommt es zu vorübergehender Temperaturempfindlichkeit der Zähne.

Verneers: Veneers oder Verblendschalen sind fast transparente Keramikschalen, die von außen auf den Zahn geklebt werden. Die Einsatzgebiete sind vielfältig. Mit Veneers können leichte Zahnfehlstellungen, Zahnlücken, Zahnschmelz-Missbildungen, Abnutzungserscheinungen und lokale Verfärbungen korrigiert werden. Durch Veneers erhalten die sichtbaren Oberflächen der Zähne ein perfektes, fehlerfreies Aussehen und auch die Zahnfarbe wird bei diesem Verfahren individuell optimiert.

Ein Vorteil dieser Methode ist der geringe Substanzverlust. Es muss nur eine minimale Schicht Zahnschmelz - etwa 0,5 Millimeter - abgetragen werden. Die hauchdünnen, metallfreien Keramikfacetten werden dann wie künstliche Fingernägel auf die Zahnoberflächen geklebt. Später sind die lichtdurchlässigen Veneers von den eigenen Zähnen nicht zu unterscheiden. Ein weiterer Vorteil der Keramikschalen ist deren sehr gute Gewebeverträglichkeit.

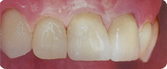
Ausgangssituation:
 

Fertige Restauration:
 

Vorher Nachher
Vorher Nachher

Weil sie vor allem ästhetisch ansprechend sind, werden Veneers am häufigsten im sichtbaren Bereich des Gebisses, also an den Frontzähnen, eingesetzt. Gerade für Patienten mit verfärbten, beschädigten, zu kurzen oder leicht schief stehenden Zähnen sind die Keramikschalen die einfachste Möglichkeit, zu einem schönen, gleichmäßigen Gebiss zu kommen.

Zurück