Zahnimplantate - Lebensqualität auf solider Basis
Zahnimplantate
sind der wirkungsvolle Ersatz für verlorene Zähne.
Höherer Tragekomfort, Langlebigkeit und anspruchsvolle
ästhetische Ergebnisse sind entscheidende Argumente.
Bei der konventionellen Lösung müssen in vielen
Fällen gesunde Zähne beschliffen werden, um die
klassische Brücke zu befestigen. Bei der Implantat-Versorgung
ist dies nicht notwendig, gesunde Zahnsubstanz bleibt erhalten.
Implantate übernehmen die Aufgabe der Zahnwurzel. Wie
diese leiten sie die Kaukräfte in den Kiefer, der Knochen
wird natürlich belastet und bleibt vital.
Ein Einzelzahnimplantat als Zahnwurzelersatz ist die eleganteste
Art, einen kosmetisch makellosen Lückenschluss zu erzielen.
Zahnimplantate sind auch die sichere Verankerung für
herausnehmbare Vollprothesen und ersparen Patienten die üblichen
Nachteile von konventionellen "künstlichen Gebissen".
Ein Zahnimplantat ist ein schraubenförmiger Stützpfeiler,
der die natürliche Zahnwurzel ersetzt. Das Implantat
wird in den Kieferknochen eingesetzt, wo es nach durchschnittlich
6-8 Wochen vom Knochen fest eingebettet sein wird. Feste Verankerung
im Knochen und harmonisches Sich-Anschmiegen des Zahnfleischsaums
an den Implantatkörper ergeben das solide Fundament für
zuverlässigen langlebigen Zahnersatz.
Grundlegende Voraussetzungen für die Implantation sind
ein nach Qualität und Volumen ausreichendes Knochenangebot
und die Fähigkeit des Körpers zu normaler Wundheilung.
Wesentliche Garanten einer langfristig erfolgreichen Implantation
sind gewissenhafte Mundhygiene und der regelmäßige
Gang zum Zahnarzt für Routinekontrollen.
Besonders für aktive Menschen, die sich mit herausnehmbarem
Zahnersatz nicht abfinden möchten, sind Implantate die
Alternative zu neuer Selbstsicherheit. Mehr Attraktivität,
mehr Freude am Leben, unbeschwert genießen – Implantate
tragen dazu bei.
 |
 |
|
Problem: fehlender Molar im Unterkiefer
|
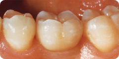
Die zementierte Krone fügt sich in Farbe und Form
harmonisch in die bestehende Zahnreihe ein
|
Nur auf dem Röntgenbild (siehe oben) ist zu erkennen,
was sich unter diesem Zahn verbirgt: ein Implantat
Zurück
|