Zahnersatz
aus Keramik - ästhetisch zuverlässig biokompatibel
Rund 85 Millionen mal im Jahr heißt die Diagnose in
deutschen Zahnarztpraxen: Karies! Die zersetzenden Bakterien
haben Teile des Zahnes zerstört. Grundsätzlich hat
der Zahnarzt nach der Kariesentfernung dann zwei Behandlungsmöglichkeiten.
So kann er Füllungsmaterial direkt in den Zahn einbringen.
Dies eignet sich aber nur für kleinere Defekte.
Sollen größere Schäden langfristig versorgt
werden, sind sogenannte Einlagefüllungen optimal. Diese
Inlays aus Gold oder Keramik werden im zahntechnischen Labor
hergestellt.
Wer höchste Ästhetik wünscht, greift auf ein
Inlay aus Keramik zurück. Keramikinlays wirken sehr natürlich,
weil sie lichtdurchlässig sind. Sie können heute
so exakt der eigenen Zahnfarbe angepasst werden, dass sie
im Mund nahezu unsichtbar sind.
Wenn nach der Kariesentfernung die Zahnwände zu dünn
sind und dem restlichen Zahn die nötige Stabilität
fehlt, sind Teilkronen oder Kronen die bessere Lösung.
Dabei wird immer häufiger nach metallfreiem Zahnersatz
gefragt. Absolut körperverträglich, dabei extrem
haltbar und von natürlicher Schönheit soll er sein.
Wir erfüllen diesen Wunsch mit Hilfe der Hochleistungskeramik
Zirkonoxid. Klinische und materialwissenschaftliche Studien
belegen, dass mit Zirkonoxidkeramik höchste mechanische
Sicherheit und eine langjährige Versorgung auch im Seitenzahnbereich
gewährleistet ist. Auch metallfreie Brücken sind
dank Zirkonoxid heute kein Problem mehr.
Die keramischen Restaurationen enthalten keinerlei Metalllegierungen,
somit ist die Gefahr einer Zahnfleischreizung oder einer allergischen
Reaktion nahezu ausgeschlossen. Dank der materialeigenen Transluzenz
(Lichtdurchlässigkeit) genügen Kronen oder Brücken
aus Zirkonoxidkeramik höchsten ästhetischen Ansprüchen.
 |

|
|
Frontzahnkronen aus Metall mit Verblendungen: Deutlich
sind der dunkle Rand und das zurückgebildete, etwas
verfärbte Zahnfleisch zu sehen.
|
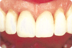
Der Patient erhielt neue Kronen aus Keramik. Es gibt
keinen dunklen Rand mehr. Das Zahnfleisch ist gesund.
|
Zurück
|